If you are looking for Cognitive Strategies Dependent on the Hippocampus and Caudate Nucleus you've came to the right place. We have 16 Images about Cognitive Strategies Dependent on the Hippocampus and Caudate Nucleus like Limbic System: Amygdala (Section 4; Chapter 6) Neuroscience Online: An; Brain Anatomy and also WMU Psychology Department: Lisa Baker. Here it is:
Cognitive Strategies Dependent On The Hippocampus And Caudate Nucleus
www.jneurosci.org nucleus caudate variability hippocampus
Lab 5
lab splenium coronal sheep brain dissection
Limbic System: Amygdala (Section 4; Chapter 6) Neuroscience Online: An
nba.uth.tmc.edu amygdala neuroscience brain structures limbic anatomy system diagram s4 tmc uth nba edu section neurobiology medical relationship
Caudate Nucleus - Wikidoc
caudate nucleus brain wikidoc lateral superficial dissection stem
Pixel-Wise Classification In Hippocampus Histological Images
hippocampus classification histological
Anatomy Of The Substantia Nigra And Subthalamic Nucleus On MR Imaging
radiologykey.com substantia nigra nucleus subthalamic anatomy imaging mr fig radiology neuroimaging
WMU Psychology Department: Lisa Baker
brain sheep hippocampus coronal section psychology wmich homepages edu
Brain Anatomy
3d anatomy brain gifs hippocampus caudate amygdala da neuroanatomy reconstructions atlases physiology
Anatomy; Brain Flashcards | Quizlet
quizlet.com brain anatomy quizlet location
General Features - Hippocampus - Flanders Health Blog
www.flandershealth.us hippocampus choroid diencephalon mesencephalon temporal plexuses
THALAMUS
www.slideshare.net thalamus
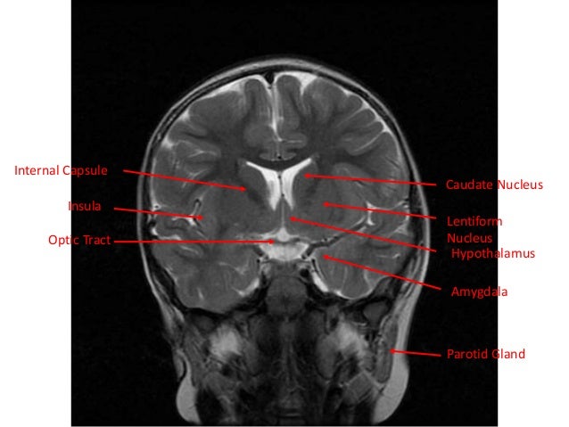
Normal Mri Brain
www.slideshare.net mri nucleus caudate insula tract lentiform ventricle hippocampus
Sheep Brain
sheep sagittal septum brain
VMLA T3 The Brain 1 Flashcards | Quizlet
quizlet.com brain inferior colliculus vmla quizlet
Diencephalon Dorsal View
dorsal brain sheep cerebellum diencephalon specimen dissected vanat umn cvm edu
Frontiers | Cognitive-motor Interactions Of The Basal Ganglia In
www.frontiersin.org basal ganglia motor cognitive interactions development cortex frontal lobe cerebral neuroscience articles interaction systems project figure
Brain inferior colliculus vmla quizlet. Brain anatomy. Hippocampus classification histological


